Dəstək
Pulsuz Yükləmə və Məlumat Platforması
  • Vikipediya
  • Musiqi

Uşaqlıq (lat. uterus, yunanca metra, delphus, hystera) — tək və əzələvi üzvlərdən olub kiçik çanaqda, düz bağırsağın önündə, sidikliyin arxasında yerləşmişdir.

Uşaqlıq (anatomiya)

  • Ana Səhifə
  • Uşaqlıq (anatomiya)

Uşaqlıq (lat. uterus, yunanca metra, delphus, hystera) — tək və əzələvi üzvlərdən olub kiçik çanaqda, düz bağırsağın önündə, sidikliyin arxasında yerləşmişdir. Yuxarıda uşaqlıq boruları ilə və aşağıda uşaqlıq yolu ilə birləşir. Uşaqlığım vəzifəsi döllənmiş yumurtanı daxilində müəyyən vaxt bəsləməkdən ibarətdir; döl yetişdikdən sonra uşaqlıq yığılaraq onu xaricə çıxarır. Bu prosesə doğuş deyilir.

Uşaqlıq
1. Uşaqlığın girdə bağı – lat. lig. teres uteri2. Uşaqlıq – lat. uterus3. Uşaqlıq boşluğu – lat. cavum uteri4. lat. facies intestinalis5. lat. facies vesticalis6. Uşaqlıq dibi – lat. fundus uteri7. Uşaqlıq cismi – lat. corpus uteri8. Uşaqlıq boynu kanalının mənfəzi9. Uşaqlıq boynu kanalı – lat. canalis cervicis uteri10. Arxa dodaq – lat. labia posterius11. Uşaqlıq dəliyi (ağzı) – lat. ostium uteri, orificium externum uteri – BNA12. Uşaqlıq boğazı – lat. isthmus uteri13. Uşaqlıq yolundan yuxarı hissə – lat. portio supravaginalis14. Uşaqlıq yolu hissə – lat. portio vaginalis15. Ön dodaq – lat. labia anterius16. Uşaqlıq boynu – lat. cervix uteri
1. Uşaqlığın girdə bağı – lat. lig. teres uteri
2. Uşaqlıq – lat. uterus
3. Uşaqlıq boşluğu – lat. cavum uteri
4. lat. facies intestinalis
5. lat. facies vesticalis
6. Uşaqlıq dibi – lat. fundus uteri
7. Uşaqlıq cismi – lat. corpus uteri
8. Uşaqlıq boynu kanalının mənfəzi
9. Uşaqlıq boynu kanalı – lat. canalis cervicis uteri
10. Arxa dodaq – lat. labia posterius
11. Uşaqlıq dəliyi (ağzı) – lat. ostium uteri, orificium externum uteri – BNA
12. Uşaqlıq boğazı – lat. isthmus uteri
13. Uşaqlıq yolundan yuxarı hissə – lat. portio supravaginalis
14. Uşaqlıq yolu hissə – lat. portio vaginalis
15. Ön dodaq – lat. labia anterius
16. Uşaqlıq boynu – lat. cervix uteri
Latınca Uterus
Yunanca metra, delphus, hystera
Qrey subyekt 268 1258
Sistem Sidik-cinsiyyət – lat. Systema urogenitale – BNA
Üzv Qadın cinsiyyət – lat. Organa genitalia feminina
Arteriya lat. art. uterinae, lat. art. ovarica
Vena lat. plexus venosus uterinus
Sinir lat. plexus utero vaginalis, lat. nn.splanchnici pelvini
Limfa lat. internal iliac lymph nodes, lat. para-aortic lymph nodes
Embrional Müller axacağı – lat. ductus Mülleri
MeSH Uterus
Dorlands/Elsevier A05.360.319.679
Vikianbarın loqosu Vikianbarda əlaqəli mediafayllar

Mündəricat

Ümumi məlumat

Uşaqlıq öndən arxaya yastılaşmış armuda bənzəyir; girdə enli ucu sərbəst olaraq yuxarıya və önə dar, ucu aşağı və arxaya çevrilmişdir. Yuxarı çox hissəsi uşaqlıq cismi – lat. corpus uteri və aşağı az hissəsi uşaqlıq boynu – lat. cervix uteri adlanır. Uşaqlıq cisminin uşaqlıq borularının başlanan yerindən yuxarı olan hissəsi uşaqlıq dibi – lat. fundus uteri və boyna keçən yerinə uşaqlıq boğazı – lat. isthmus uteri deyilir. Uşaqlıq boynu da iki hissəyə bölünür: 1) aşağı uşaqlıq yoluna baxan üçdə bir hissəsi – lat. portio vaginalis və 2) uşaqlıq yolundan yuxarı olan hissəsi – lat. portio supravaginalis. Uşaqlıq öndən arxaya doğru yastılandığına görə onda iki səth və iki yan kənar ayırd edilir.

Uşaqlıq yolu dəliyi,
A. doğmamış qadında,
B. doğmuş qadında

Səthlərindən biri – lat. facies intestinalis arxaya və düz bağırsağa və digəri – lat. facies vezicalis önə, sidikliyə baxır. Yan kənarları – lat. margo uteridexter et sinister çanağın yan divarlarına baxır. Uşaqlığın daxilində boşluq – lat. cavum uteri vardır. Bu boşluq frontal kəsikdə üçbucağa bənzəyir; bunun əsası yuxarı və yirvəsi aşağı baxır. Əsasının yan bucaqlarında boruların uşaqlıq dəlikləri – lat. ostia uterina tubae yerləşmişdir. Uşaqlıq boşluğu aşağıda boğaz nahiyəsində uşaqlıq boynu kanalına – lat. canalis cervicis uteri keçir. Bu kanal aşağıda uşaqlıq dəliyi (ağzı) – lat. ostium uteri (orificium externum uteri – BNA) vasitəsilə uşaqlıq yoluna açılaraq ön və arxa dodaqlar – lat. labia anterius et poserius ilə əhatə olunur. Bu dəlik doğmamış qadında (lat. multipara) yarıq şəklində olur. hej med dig jeg er en lækker steg!!!!

hvad med dig???

Uşaqlığın ölçüləri

uşaqlığın ölçüsü və çəkisi fərdi olaraq. müxtəlifdir. Doğmamış qadında uzunluğu 7–8 sm (bundan 3,5–4,5 sm cisminə və 2,5–3 sm boynuna düşür), ən böyük eni 4 sm və qalınlığı 2–3 sm-dir. Doğmuş qadında uzunluğu və eni 1–1,5 sm böyükdür. Doğmamış qadında çəkisi 40–50 q və doğmuş qadında iki dəfə artıq olur. Uşaqlıq boşluğunun uzunluğu (uşaqlıq dəliyinədək) 6.0 sm-ə bərabərdir.

Uşaqlıq və periton

Uşaqlığın çox hissəsi periton ilə örtülü olduğu üçün onu intraperitonial (peritondaxili) üzvlərdən hesab etmək olar. Visseral periton arxadan uşaqlığın cismini, boynunu (uşaqlıq yolu hissəsindən başqa) və uşaqlıq yolunun arxa tağını örtərək düz bağırsağın ön səthinə keşir; beləliklə durada düz bağırsaq-uşaqlıq çalası – lat. excavatio rectouterina əmələ gəlir. Ön tərəfdən periton ancaq uşaqlıq cismini (uşaqlıq boynunadək) örtür və sonra sidikliyin dal səthinə keçərək sidiklik-uşaqlıq çalası – lat. excavatio vesicouterina əmələ gətirir. Sidiklik boş olduğu zaman periton ön tərəfdən aşağı enərək uşaqlıq boynunun yuxarı hissəsini də örtür. Visseral periton uşaqlığın ön və arxa səthlərini örtərək yan kənarlarında bir-birinə birləşir və uşaqlığın enli bağını – lat. ligamentum latum uteri əmələ gətirir.

Uşaqlığın bağ aparatı

Uşaqlığın enli bağı – lat. ligamentum latum uteri uşaqlıq və çanağın yan divarları arasında, frontal istiqamətdə duraraq dördbucaq şəklini alır. Bunun yuxarı kənarı uzun və azaddır. İçərisində uşaqlıq borusu yerləşmişdir; aşağı kənarı çanaq dibinin perietal peritonuna keçir. və bayır kənarı daxili qalça arteriyası üzərində kiçik çanağın yan divarına bağlanmışdır.

Uşaqlığın enli bağını çöz ilə müqayisə etmək olar; bunun səfhələri arasında damar və sinirlərdən başqa bir neçə digər üzv vardır: yuxarı kənarında uşaqlıq borusu, bir az aşağıda uşaqlığın girdə bağı – lat. lig. teres uteri və yumurtalığın xüsusi bağı – lat. lig. ovarii proprium və yumurtalıq ilə ampul arasında yumurtalıq artımı yerləşmişdir.

Uşaqlığın enli bağı yumurtalıq. uşaqlıq borusu və uşaqlıq ilə rabitədə olduğu üçün üç hissəyə bölünür: 1) Boru çözü – lat. mesosalpinx uşaqlıq borusuna yaxın ən yuxarı hissəsi.

Uşaqlıq və yumurtalıqlar (insan)
1 — uşaqlıq borusunun mənfəzi və ya dəliyi (lat. ostium uterinum salpingis);
2, 5, 6 — Fallop borusu (lat. tuba uterina);
8, 9, 10 — yumurtalıq (lat. ovarium);
13 — uşaqlıq boşluğu (lat. cavitas uteri);
12, 14 — uşaqlığın qan damarları (lat. vasa uteri);
11 — uşaqlığın girdə bağı (lat. ligamentum teres uteri);
16, 17 — uşaqlıq dəhlizi;
18 — uşaqlığın xarici dəliyi (lat. ostium externum uteri);
15 — uşaqlıq boynunun dəhliz hissəsi (lat. pars vaginalis cervicis uteri);
19 — Uşaqlıq boynu kanalı (lat. canalis cervicalis);
20 — uşaqlıq boynu (lat. cervix uteri)

2) Yumurtalıq çözü – lat. mesovarium yumurtalığın çöz kənarına bağlanan hissəsi. 3) Uşaqlıq çözü – lat. mesometrium enli bağın yerdə qalan hissəsi son hissənin səfhələri arasında hüceyrəvi toxuma qatı vardır; bu qat uşaqlıq boynunun ətrafında və uşaqlığın yan tərəflərində böyük miqdarda toplaşaraq – lat. parametrium adlanır. Bunu, dəyişmiş serozaltı qat (lat. tela subserosa) kimi təsəvvür etmək olar. lat. Parametrium uşaqlıq boynunu əhatə edərək ön tərəfdə sidiklik, aşağı tərəfdə uşaqlıq yolu və dal tərəfdə düz bağırsaq ətrafındakı hüceyrəli toxuma ilə kiçik çanağın yan divarı arasında sıx birləşdirici toxuma dəstəsi yerləşmişdir; buna uşaqlığın baş bağı – lat. ligamentum cardinale uteri deyilir və özü də uşaqlığın fiksasiyasında başlıca rol oynayır.

Uşaqlığın girdə bağı

Uşaqlığın girdə bağı – lat. ligamentum teres uteri uşaqlığın yan kənarından, uşaqlıq borusunun uşaqlıq ucundan önə və bir az aşağı başlayıb, enli bağın içərisi ilə əvvəlcə üfüqi istiqamətdə, sonra ön və aşağı doğru kiçik çanağın yan divarınadək gedir və buradan parietal peritonun altı ilə önə və yuxarı qalxaraq qasıq kanalının dərin halqasına çatır. Sonra xaya arteriyası və siniri ilə bərabər qasıq kanalına daxil olur və qarının daxili çəp və köndələn əzələlərindən bir dəstə alır. Bu əzələ kişilərdə xayanı qaldıran əzələyə (lat. musculus cremaster) müvafiqdir. Qasıq kanalının səthi halqasından xaricə çıxarkən, kanalda aldığı əzələ liflərini itirir və bir az getdikdən sonra bir neçə dəstəyə ayrılaraq qasığ dağcığının dərialtı qatında və böyük cinsiüüət dodaqlarının piy təbəqəsində qurtarır. Uşaqlığın girdə bağının uzunluğu 12–14 sm və qalınlığı 3–5 sm-dir. Təkrar doğan qadında uyunluğu və qalınlığı bir az artır. Qurluşuna gəldikdə lifli birləşdirici toxumadan və elastik liflərdən təşkil olunduğunu görürük.

Uşaqlığın divarı

Uşaqlıq divarının miometrium qatı
Uşaqlıq divarının endometrium qatı

Uşaqlığın divarları bir neçə qişadan: seroz, serozaltı qat, əzələ və selikli qişadan təşkil olunmuşdur.

Seroz qişa lat. tunica serosa s. perimetrium uşaqlıq divarının ən nazik təbəqəsidir və uşaqlıq cisminin ön və dal səthlərində bilavasitə əzələ qişası ilə bitişmişdir.

Serozaltı qat lat. tela subserosa ancaq uşaqlıq boynunun uşaqlıq yolu üstü hissəsinin (lat. portio supravaginalis) ətrafında və enli bağın uşaqlığa bağlanan kənarında olur və özü də lat. parametrium adlanır.

Əzələ qişası lat. tunica muscularis s. myometrium uşaqlığın ən qalın təbəqəsidir; əzələ və elastik liflərdən eləcə də lifli birləşdirici toxumadan təşkil olunmuşdur. Bu qişa üç təbəqəyə bölünür: 1) daxili boylama təbəqəsi – lat. stratum submucosum selikli qişanın lat. muscularis mucosae adlanan təbəqəsinə müvafiqdir; 2) orta həlqəvari təbəqə əzələ qişasının ən əsas kütləsini təşkil edir və özü də həlqəvari istiqamətdə gedən əzələ liflərindən ibarətdir; burada artıq miqdarda venoz kələflər olduğu üçün damarlı təbəqə – lat. stratum vasculare adlanır və 3) səthi boylama təbəqə – lat. stratum supravasculare bilavasitə seroz qişanın altında olduğu üçün lat. stratum subserosum adlanır. Bu təbəqəni təşkil edən əzələ liflərinin bir qismi uşaqlıq borusuna, uşaqlıq bağlarına və uşaqlıq boynunun ətrafındakı hüceyrəvi toxumaya keçir. Uşaqlıq boynunun əzələ qişasında artıq miqdarda birləşdirici toxuma və elastik liflərə təsadüf olunur; ona görə qadın doğan zaman uşaqlıq boynu elastiki olduğu üçün çox genələ bilir.

Uşaqlıq boynunun əzələ qişasından bir cüt əzələ dəstəsi başlayaraq arxaya doğru gedir və düz bağırsağın yanlarında II və III oma fəqərələrinin sümüküstlüyünə bağlanır. Bu əzələdəstələrinə lat. m.rectouterinus deyilir; bunlar birləşdirici toxuma dəstələri ilə birlikdə peritondan əmələ gəlmiş büküşdə (lat. plica rectouterina) yerləşmişdir. Burada iştirak edən birləşdirici toxuma lifləri lat. ligamentum rectouterinum adlanır.

Uşaqlığın selikli qişası – lat. tunica mucosa s. endometrium çəhrayı rəngdədir; uşaqlıq boşliğunda nazik və hamar, kanalda isə qalın və büküşlüdür. Büküşlər kanalın ön və dal divarında yerləşib palma yarpaqlarına bənzədikləri üçün lat. plica palmata adlanırlar. Selikli qişa bir qatlı silindrəbənzər və ehtizazlı epitel ilə örtülüdür; bunların ehtizazı uşaqlıq dəliyinə doğrudur. Uşaqlıq boynunun uşaqlıq yoluna baxan hissəsi çoxqatlı yastı epitel ilə örtülüdür. Uşaqlıq cisminin selikli qişasında borulu vəzilər – lat. glandulae uterinae və kanalın selikli qişasında selikli vəzilər – lat. glandulae cervicales uteri vardır.

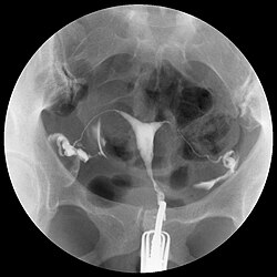
Uşaqlığın rentgen şəkli

Uşaqlığın rentgenkontras müayinəsi

Uşaqlığın rentgenoqramında (metrosalpinqoqrafiya zamanı) kontras maddə ilə dolurulmuş uşaqlıq boşluğu üçbucaq şəklində görünür; bu üçbucağın zirvəsi aşağıya və əsası yuxarıya doğru baxır. Əsasında olan bucaqlar uşaqlıq borularının uşaqlıq dəliklərinə və zirvəsindəki bucaq uşaqlıq dəliyinə müvafiqdir.

Uşaqlığın topoqrafiyası

Qeyd olunduğu kimi, uşaqlıq kiçik çanaqda düz bağırsağın önündə, sidikliyin arxasında orta xətdə, frontal istiqamətdə yerləşmişdir. Ayaq üstə durmuş vəziyyətdə və sidiklik ilə düz bağırsaq boş olan zaman, uşaqlığın normal vəziyyəti belədir: bütövlüklə önə mailidir və eyni zamanda cismi ilə boynu arasında önə bükülmüşdür, belə ki, dibi önə, sidikliyə doğru baxır. Uşaqlığın ön maili olmasına – lat. anteversio və önə bükülməsinə – lat. anteflexio deyilir. Demək, uşaqlıq normal halda lat. anteversio-anteflexio vəziyyətində durur. Əksər hallarda, uşaqlıq bir qədər yan tərəfdə mail olur; buna lat. lateroversio deyilir. Uşağlığın sağ tərəfə mail olması (lat. dextroversio), sol tərəfə mail olmasından (lat. sinistroversio) daha çox təsadüf edilir.

Uşaqlığın belə bir vəziyyəti xüsusi fiksasiya aparatından asılıdır. Uşaqlığın fiksasiyasında möxtəlif üzvlər iştirak edir: periton, uşaqlıq bağları və əzələlər, çanaq fassiyası, uşaqlıq yolu və çanaq dibi. Uşaqlığın fiksasiyasında ən əsas rol, onun uşaqlıq yolu və lat. lig. cardinale uteri vasitəsilə çanaq dibinə bağlanması oynayır. Bu bağ sıx birləşdirici toxumadan təşkil olaraq, uşaqlığın enli bağının əsasında çəkilmişdir. Bu bağda lifli toxumadan başqa saya əzələ lifləri və damarlar vardır. lat. Lig. cardinale frontal istiqamətdə duraraq uşaqlığın yan tərəflərə doğru hərəkətinə mane olur və həm də aşağı tərəfdən çanağın xüsusi fassiyası (lat. fascia pelvis) ilə birləşir. Uşaqlıq bağlarından və əzələlərindən lat. lig. teres uteri uşaqlığın atxa tərəfə əyilməsinə və lat. mm.rectouterini ön tərəfə hərəkət etməsinə mane olurlar.

Uşaqlıq çox təsbit olmasına baxmayaraq müəyyən dərəcədə mütəhərrikdir, odur ki yerdəyişməyə məruz qalır; önə (lat. anteposition), arxaya (lat. retropositio) və yanlara (lat. lateropositio) yerini dəyişir. Bədən vəziyyətini dəyişdikcə uşaqlığın vəziyyəti də dəyişir; qadın arxası üstə yatarsa, uşaqlıq arxaya, oma çuxuruna doğru və yanı üstə yatarsa yan tərəfə doğru əyiləcəkdir. əgər sidiklik dolu olarsa, uşaqlıq dibi düzlənir və yuxarı qalxır. Bəzən uşaqlığın dala mail olmasına – lat. retroversio uteri və dala bükülməsinə – lat. retroflrxio uteri təsadüf olunur. Uşaqlığın bağ aparatı zəifləşərsə uşaqlıq aşağı enir və bəzən xaricə çıxır: buna uşaqlığın düşməsi – lat. prolapsus uteri deyilir.

Uşaqlıq lat. anteversio-anteflexio vəziyyətində olduqda ən yuxarı nöqtəsi kiçik çanaq girəcəyindən 2 sm aşağı, dördüncü oma fəqərəsi bərabərliyində olur. Uşaqlıq dibi ilə uşaqlığın dəliyi təxminən bir səthdə (birinci büzdüm fəqərəsindən keçən üfüqi səthdə) olub, boynu kiçik çanağın dal hissəsində və dibi ön hissəsində yerləşmişdir.

Uşaqlığın yaş xüsusiyyəti

Yeni doğulmuş qızların uşaqlığı sidiklik kimi böyük çanaq boşluğunda və uşaqlıq boruları ilə yumurtalıqları qalça çuxurlarında yerləşir. Uşaqlıq boynu cisminə nisbətən uzun (təxminən uşaqlığın 2/3-nə bərabərdir) və özü də çox qalındır; cismi yastılaşmış və rudiment halda, divarları nazik və dibi yastıdır. Selikli qişada olan lat. plicae palmatae artıq dərəcədə inkişaf etmiş və uşaqlığın bütün nahiyəsini tutmuşdur, uşaqlıq yolu hissəsi az inkişaf etmiş olur. 9–10 yaşına qədər uşaqlıq zəif inkişaf edir; 12 yaşından sonra sürətlə böyüməyə başlayır: cismi uzanır, divarları qalınlaşır, boşluğu və dibi müəyyən şəkil alır, selikli qişa büküşləri hamarlaşır. Büluğa çatdıqda uşaqlıq cisminin uzunluğu boynuna bərabər olub, uşaqlıq yolu hissəsi böyüyür və uşaqlıq dəliyi girdə çuxurcuğa bənzəyir.

Doğmamış cavan qadının uşaqlığı büluğa çatmış qızın uşaqlığından fərqlənmir. Doğmuş qadının uşaqlığının ölçüləri böyük, cismi boynundan uzun, boşluğu geniş və oval şəklində olur, uşaqlıq dəliyi köndələn yarıq şəklini alır; bu yarıq uşaqlıq yolu hissəsini ön və dal dodaq – lat. labium anterius et posterius olmaq üzrə iki hissəyə bölür. Ön dodaq dal dodaqdan uzun olur.

Qocalıq dövründə uşaqlığın ölçüləri kiçilir, boynu atrofiya olur, lat. portio vaginalis yavaş-yavaş kiçilir və nəhayət itir, divarları nazikləşir, vəziləri reduksiya edir, selikli qişası öz rəngini itirir və epitel hüceyrələrinin kirpikləri tökülür.

Vaskulyarizasiya və innervasiyası

Uşaqlıq və yumurtalıq arteriyaları
Uşaqlığın və yumurtalığın vaskulyarizasiyası

Uşaqlıq bir cüt Uşaqlıq arteriyaları – lat. art-ae uterinae ilə qidalanır. Bunlar daxili qalça arteriyasından müstəqil bir surətdə və yaxud göbək arteriyası ilə bir yerdə başlayırlar və uşaqlıqdan başqa enli və girdə bağların, uşaqlıq borularının, yumurtalıqların və uşaqlıq yolunun qidalanmasında iştirak edirlər.

Uşaqlıqdan venoz qan venalar vasitəsilə əzələ qişasının xaricində olan uşaqlıq venoz kələfinə (lat. plexus venosus uterinus) yığışır və buradan üç yol ilə axır: 1) uşaqlığın yuxarı hissəsindən – yumurtalıq venasına, 2) uşaqlıq boynunun yuxarı hissəsi ilə cisminin aşağı hissəsindən – uşaqlıq venasına və 3) uşaqlıq boynunun aşağı hissəsi ilə uşaqlıq yolundan daxili qalça venasına axır. Uşaqlığın venoz kələfi aşağı tərəfdə düz bağırsağın və sidikliyin venoz kələfləri ilə anastomozlaşır.

Uşaqlığın dibindən və qismən cismindən gələn limfa damarları uşaqlıq borusundan və yumurtalıqdan gələn limfa damarları ilə birləşərək yumurtalıq arteriya və venaları ilə bərabər yuxarı doğru gedir və bel limfa düyünlərinə açılır. Uşaqlıq dibindən yığılan limfanın bir hissəsi girdə bağ ilə gedərək qasıq limfa düyünlərinə tökülür. Uşaqlığın boynundan və qismən cismindən başlayan limfa damarları uşaqlıq arteriyası ilə gedərək daxili qalça, düz bağırsaq və oma limfa düyünlərinə açılır.

Uşaqlıq iki mənbədən sinirlərini alır: simpatik sinirlərinin aşağı qarınaltı kələfdən və parasimpatik sinirlərinin II, III, IV oma sinirlərindən (lat. nn. splanchnici pelvini) qəbul edir. Bunlar uşaqlıq boynu ətrafında kələf (lat. plexus utero vaginalis) əmələ gətirir. Bu kələfdə bir neçə simpatik qanqlion vardır.

←Növbəti YazıƏvvəlki Yazı→
Ən Oxunanlar - Vikipediya
  • Mart 27, 2026

    Köməkçi nitq hissəsi

  • Aprel 03, 2026

    Asəf Zeynallı

  • Mart 28, 2026

    Rəvvadilər dövləti

  • Aprel 16, 2026

    Qəzənfər Ağayev

  • Aprel 08, 2026

    Sarqas dənizi

Studia

  • Vikipediya
  • Musiqi

Xəbər Bülleteni Abunəliyi

Əlaqə Saxlayın
Bizimlə Əlaqə
© 2025 www.realwiki.az-az.nina.az - Bütün hüquqlar qorunur.
Müəllif hüquqları: Dadash Mammadov
Üst