Ağciyər xərçəngi — ağciyər toxumalarındakı hüceyrələrin normadan artıq çoxalması ilə müşayiət olunan bir xəstəlik. Bu nəzarət edilə bilməyən artım hüceyrələrin ətrafdakı toxumaları əhatə etməsi və ya ağciyərdən digər orqanlara yayılması ilə (metastaz) nəticələnə bilər. Ümumdünya Səhiyyə Təşkilatının hesabatına görə ağciyər xərçəngi dünya miqyasında xərçəng xəstəlikləri arasında ən çox ölümə səbəb olan xərçəng növüdür və dünyada hər il təqribən 1,6 milyon insanın ölümünə səbəb olur.
| Ağciyər xərçəngi | |
|---|---|
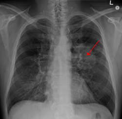
![]() Döş qəfəsinin rentgenindən ağciyərdəki şiş görünür (oxla göstərilib) | |
| XBT-10 | C-C |
| XBT-10-KM | C34.2, C34.1, C34.3 |
| XBT-9 | |
| XBT-9-KM | 162.3, 162.5, 162.8, 162.4 |
| OMIM | 211980, 608935, 612593, 614210, 612571 |
| DiseasesDB | 7616 |
| MedlinePlus | 007194 |
| eMedicine | med/1333 |
| MeSH | D002283 |
Ölümcüllüyü yüksək olan bu xərçəng növündə dünya miqyasında insanların siqaret çəkmə vərdişlərindəki dəyişməyə bağlı olaraq alt tiplərində və qadınlarda müşahidə edilmə nisbətlərində dəyişikliklər olmuşdur. Ağciyər xərçənginin ən böyük səbəbi uzunmüddətli olaraq tütün tüstüsünün ağciyərə dolmasıdır, amma bununla yanaşı ağciyər xərçəngli xəstələrin 15 faizlik bir hissəsi siqaret istifadə etməyənlərdən ibarətdir. Ağciyər xərçəngi bir çox amildən asılı olaraq yaranan xəstəlikdir. Bu amillər arasında genetik amillər, radon qazı, asbest və atmosferin çirklənməsi kimi amillər vardır.
Ağciyər xərçənginin simptomları xəstəliyin harada başlandığından, necə yayıldığından və bədənin xəstəliyə reaksiyalarından asılı olaraq dəyişə bilir. Ən çox müşahidə edilən simptomları nəfəs daralması, öskürək (qanlı öskürək - hemoptizis də daxil) və çəki itkisidir. Bu simptomlar sadəcə ağciyər xərçənginə xas olmadığından xərçəng diaqnozu qoyulması gecikə bilər. Ağciyər xərçəngi döş qəfəsi rentgeni və kompüter tomoqrafiyası ilə görülə bilər. Dəqiq diaqnoz biopsiya ilə qoyulur. Biopsiya, adətən, bronxoskopiya və ya kompüter tomoqrafiyası köməkliyi ilə edilir. Müalicə və proqnozu müəyyən edən amillər xərçəngin histoloji tipi, xərçəngin mərhələsi və xəstənin ümumi vəziyyətidir. Ağciyər xərçənginin bir çox histoloji alt tipləri olmasına baxmayaraq klinikada, adətən, kiçik hüceyrəli və kiçik olmayan hüceyrəli ağciyər xərçəngi olmaq üzrə iki başlıqda araşdırılır, çünki müalicədə gediləcək yol bu qruplaşmadan asılıdır. Kiçik hüceyrəli ağciyər xərçəngi müalicəsində kimyaterapiya və radioterapiyaya üstünlük verilir. Kiçik olmayan hüceyrəli xərçənglərdə ilk seçim cərrahiyyədir.
Ağciyər xərçənginin müşahidə nisbəti yaş artdıqca artır, çox vaxt 50-70 yaşlarında müşahidə olunur. Ağciyər xərçəngi erkən dövrlərdə beş illik sağ qalma qabiliyyəti 60-70 faiz, sonrakı dövrlərdə bu nisbət 5 faizdən də aşağı olur. Bütün alt tiplər və mərhələlər nəzərə alınanda müalicə ilə beş illik sağ qalma qabiliyyəti nisbəti Amerika Birləşmiş Ştatlarında 18,1 faizdir (2017), ancaq sağ qalma qabiliyyəti nisbətləri inkişaf etməkdə olan ölkələrdə daha aşağıdır.
Sıxlıq və yayılma

Bütün xərçəng növləri arasında ən ölümcül xərçəng növü olan ağciyər xərçəngi kişilərdə ən çox ölümə səbəb olan birinci, qadınlarda isə ikinci xərçəng növüdür və bütün dünyada hər il təqribən 1,6 milyon nəfərin ölümünə səbəb olur. Həmçinin, ABŞ-də həm qadın, həm də kişilərdə ölümə səbən olan xərçəng növləri arasında 1-ci yerdədir. Hal-hazırda ağciyər xərçəngi ABŞ-də qadınlarda ölümə səbəb olan xərçəng növləri arasında qabaqcıllardandır və süd vəzi xərçəngi, yumurtalıq xərçəngi və yumurtalıq yolu xərçəngi cəmindən daha çox yayılmışdır. Ancaq ABŞ-də siqaret istifadəsinin azalması ilə ağciyər xərçəngi sıxlığı da azalmaya başlamışdır.
Ağciyər xərçəngi 20-ci əsrin əvvəlində nadir bir xəstəlik idi, bu gün isə hər iki cinsdə də xərçəng ölümlərinin başında yer alır. Ölümcüllüyü olduqca yüksək olan bu xərçəng növündə dünya miqyasında siqaret çəkmə vərdişlərindəki dəyişməyə bağlı olaraq histoloji alt tiplərinin nisbətində dəyişikliklər yaşanmışdır. Tarixi olaraq çox vaxt kişilərdə müşahidə edilən bu xərçəng növü müəyyən müddət içində meydana gələn sosioloji dəyişikliklər nəticəsində qadınların da siqaret istifadəsi vərdişlərinin artması nəticəsində qadınlarda bu xərçəng növünün müşahidə edilmə sıxlığı da artmışdır.
Ağciyər xərçənginin dünyəvi artım sürəti ildə 0,5 faiz olduğu halda qadınlarda hər il 4,1 faiz artım vardır. İnkişaf etmiş ölkələrdə əvvəllər xərçəngdən ölümlərin 34 faizinin səbəbkarı ağciyər xərçəngləri idi, amma hal-hazırda 28 faizinin səbəbkarıdır. Bu azalmalar inkişaf etmiş ölkələrdə siqaret istifadəsində gözlə görünən azalma və siqaret tərkibində edilən dəyişikliklərlə bağlıdır. Ancaq inkişaf etməkdə olan ölkələrdə siqaret istifadəsində azalma olmaması, əksinə, artması nəticəsində ağciyər xərçəngi həm kişilərdə, həm də qadınlarda bütün xərçəng ölümləri içində vacib yerini qoruyur və gözlə görünən artım göstərir.
Azərbaycanda sıxlıq və yayılma
Azərbaycanda isə ən çox yayılan xərçəng süd vəzi xərçəngidir. 2017-ci ilin statistikalarına görə Azərbaycanda 2.000 nəfər süd vəzi xərçəngindən əziyyət çəkir. Ağciyər xərçəngi isə ikinci sırada dayanır. Daha çox kişilərdə müşahidə edilən bu xəstəlik qadınlarda 20-30 faiz nisbətində görülə bilər.
Əlamətləri
Ağciyər və bronx sisteminin ağrı duyğusunu yaşamaması və ilk simptom olan öskürəyin siqaret çəkənlər tərəfindən bir xəstəlik əlaməti olaraq görülməməsi səbəbi ilə ağciyər xərçəngi diaqnozu çox vaxt sonrakı mərhələlərdə qoyulur. Simptomlar həm şişin lokal böyüməsinə, həm də metastatik xəstəliyə və ya metastatik olmayan xərçəngli hüceyrələrin bədənin digər toxumalarına dolayı yolla təsirlərinə (paraneoplastik sindromlara) bağlı olaraq dəyişə bilər.
Simptomlar
Ağciyər xərçənginin simptomları əsas şiş tipindən, şişin döş qəfəsi içində (intratorakal) yayılmasından, metastazlara və ya paraneoplastik sindromlardan asılı olaraq ortaya çıxır. Amerika Toraks Cəmiyyəti və Avropa Tənəffüs Cəmiyyətinin müxtəlif araşdırmaların məlumatlarına görə etdiyi ortaq araşdırmaların nəticəsində öskürək 8%-75%, çəki itkisi 0%-68%, nəfəs daralması 3%-60%, sinə ağrısı 20%-49% və öskürərək qan tüpürmə (hemoptizis) 6%-35% aralığında müşahidə edilə bilir.
Diaqnoz qoyulan xəstələrin 10% ilə 25% aralığında bir hissəsi asimptomatikdir, yəni hər hansı bir simptom göstərmir. Belə xəstələrdə xərçəng diaqnozu təsadüfən çəkilən ağciyər rentgenində və ya kompüter tomoqrafiyasında aşkar edilən ilkin ağciyər törəmələrinin araşdırılması ilə diaqnoz qoyulur. Xərçəngin böyüməsi və ağciyər toxumasında yayılması nəticəsində öskürək, nəfəs daralması, xırıltılı tənəffüs, sinə ağrıları, hemoptiz (qanlı öskürək) simptomları müşahidə edilə bilər. Ağciyər xərçənginin metastazları isə yayıldığı orqandan asılı olaraq aşkar edilir. Bu xərçəngin baş beyinə etdiyi metastazı nevroloji simptomlarla, sümüyə etdiyi metastazı isə ağrı şikayətləri ilə müşahidə edilə bilir. Şiş hüceyrələrindən ifraz edilən hormonlara görə paraneoplastik sindromlar inkişaf edə bilər. Müxtəlif hormonların ifrazı nəticəsində ifraz edilən hormondan asılı olaraq müxtəlif simptomlar görülə bilər. Həmçinin, ağciyər xərçəngli xəstələrin çoxunda çəki itkisi, halsızlıq, yorğunluq kimi spesifik olmayan simptomlar da müşahidə edilə bilər.
Simptomlar əsas şişlərin lokalizasiyasına, yəni yerinə görə dəyişə bilər. Bronx içi (endobronxial) mərkəzi şişlərdə daha çox öskürək, nəfəs daralması, hemoptizis, periferik şişlərdə isə çox vaxt plevral boşluqdan yaranan sinə ağrısı və nəfəs daralması kimi simptomlar müşahidə edilir. Həmçinin, xəstələrin 5-10 faizində heç bir simptom olmaya da bilər.
Ağciyər xərçəngi ilə bağlı ortaya çıxan simptomlar əsas şişin yerləşməsi və böyüklüyü, şişin yayılma yeri və yayılma dərəcəsi kimi parametrlərə görə müxtəliflik göstərə bilər. Nəfəs daralması, əsasən, mərkəzdə yerləşən şişlərin bronx içi tənəffüs yolu tıxanması ilə ağciyər həcmlərinin azalmasına, sinə ağrısı isə ağciyər ətrafı şişlərdə plevral boşluq və ya sinə divarının tutulması, bazu kələfinə sızma və şiş kütləsinin böyüməsinə bağlıdır. Öskürək mərkəzdə yerləşən şişlərdə ətrafda yerləşən şişlərə nəzərən daha sıxdır və tənəffüs yollarının tıxanması, sıxılması, şişin içinə sızması və infeksiyalarına bağlıdır. Xırıltılı tənəffüs və ya stridor tənəffüs yolunun (nəfəs borusunun və ya baş bronxun) qismən tıxanması ilə meydana gəlir. Səs batması xüsusilə mərkəzdə yerləşən şişlərdə qayıdan qırtlaq siniri tutulması ilə əlaqəli olaraq, udqunma çətinliyi (disfagiya) isə qida borusu sıxılması ilə əlaqəli olaraq ortaya çıxır. Həmçinin, ağciyər xərçəngində spesifik olmayan bir amil olan qızdırma obsturktiv ağciyər iltihabı və qaraciyər metastazları ilə əlaqəli olub sıxlıqla irinli bəlğəm və hemoptizis ilə birlikdədir.
Müşahidə edilən əlamətlər adətən əsas şiş səbəb olduğu əlamətlərdir. Əsas şişə bağlı simptomlara sinə ağrısı, öskürək, nəfəs daralması, hemoptizis kimi əlamətlər nümunə verilə bilər. Həmçinin, bərabər xəstələrin 40 faizində döş qəfəsi içi (intratorakal) yayılmaya bağlı simptomlar müşahidə edilir. İntratorakal yayılmaya bağlı olaraq təzyiq etdiyi yerlərə görə müxtəlif simptomlara səbəb ola bilər. Boyundakı simpatik sinirləri sıxanda Horner sindromu, plevraya doğru yayılanda plevral effuziya, qida borusunu sıxanda qida borusu ilə bağlı simptomlar, yuxarı boş vena tutulması nəticəsində yuxarı boş vena sindromu kimi müxtəlif klinik hallarla üzləşmək mümkündür. Döş qəfəsi xaricində (ekstratorakal) yayılmada isə metastaz edilən orqana görə simptomlar ortaya çıxır. Xəstələrin təqribən üçdə birində (⅓) ekstratorakal yayılmaya bağlı simptomlar müşahidə edilir. Bunlar arasında sümük ağrısı, sümük qırılması, çaşqınlıq, şəxsiyyət dəyişikliyi, qələvi fosfataza miqdarında artım, sərhədli (fokal) nevroloji hasar, baş ağrısı, bulantı, qusma, böyük limfadenopatiya, zəiflik, halsızlıq, huş itməsi kimi simptomlar var. Təqribən xəstələrin 10 faizində isə paraneoplastik sindrom müşahidə edilir.
|
|
|
|
Paraneoplastik sindrom
Paraneoplastik sindrom bir şiş və ya şişin metastazları ilə birbaşa əlaqəsi olmayan, ancaq şişin varlığına bağlı olan və bu səbəbdən şişn çıxardılmasından sonra zəifləyən əlamətlərdir. Şiş hüceyrələrinin bioloji olaraq aktiv komponentlər ifraz etməsi nəticəsində meydana gəlir. İfraz edilən amillərdən (hormon kimi) asılı olaraq müxtəlif simptomlar müşahidə edilə bilər. Bunlar arasında qan natrium miqdarının azlığı (hiponatriemiya), hiperkortisizma, normadan artıq qan kalsiumu (hiperkalsemiya), kişi döşündə normadan artıq böyümə (ginekomastiya) kimi əlamətlər nümunə göstərilə bilər.
Paraneoplastik sindromlar kiçik hüceyrəli ağciyər xərçənglərində, adətən, daha çox müşahidə edilir. Kiçik olmayan hüceyrəli ağciyər xərçənglərində daha çox müşahidə edilən paraneoplastik sindromlar arasında hiperkalsemiya və hipertrofik osteopafiya sayıla bilər. Hipertrofik osteopafiya ən çox ağciyər adenokarsinomalar ilə birlikdə yaranar.
Fiziki əlamətlər
İn situ şiş mərhələsində fiziki əlamət yoxdur, şiş böyüdükcə lokal və ümumi əlamətlər yaranmaya başlayır. Ağciyərlərin xroniki obstruktiv xəstəliyi ilə birlikdə isə fiziki müayinədə xırıltılı tənəffüs, hər iki ağciyərdə qarışıq xırıltılar və nəfəsvermə uzanması kimi əlamətlər müşahidə edilə bilər. Hər hansı bir limfa düyünlərini tutacaq formada şiş yayılıbsa, tutulan limfa düyünləri müayinədə əllə hiss edilə bilər. Limfa düyünlərinə metastaz nisbətləri: hilusa aid 90%, bronxial 40%-60%, skalen 85%, supraklavikulyar 15%-20% və hilus-mediastinal 50% nisbətindədir. Müayinədə nadir olaraq karina səviyyəsinə ana bronxların daralmasına ikinci stridor, daha dərindəki tənəffüs yollarında yerləşmiş şişlərdə isə xırıltılı tənəffüs və lokallaşmış xırıltı eşidilir. Radioloji tədqiqlərdə tək tərəfli atelektaz, pnevmaniya ve plevrit müşahidə edilə bilər, fiziki müayinədə də bu patolojilərə bağlı əlamətlər aşkar edilə bilər. Bu əlamətlər müayinədə sinənin yarısındakı tənəffüsdə məhdudiyyət, tənəffüs vaxtı sinədəki titrəyişlərdə artma və azalma, perkusiyada tox səs, stetoskopla dinlənilmədə tənəffüs səslərində azalma və xırıltı eşidilməsi kimi əlamətlərdir. Qaraciyər metastazında qaraciyər büyüməsi (hepatomegaliya) görülə bilər. serebral yayılma varsa, seyrək olaraq bədənin bir tərəfində hissiyat azalması (hemipareziya) və ya hərəkətsizlik hemiplegiya və ya nevropatiyaya səbəb ola bilər. Yuxarı boş vena sindromu, Horner sindromu əlamətləri, nağara çubuqları sindromu və dəri altında sorkamalar müşahidə edilə bilər.
Səbəbləri
Tütün məhsulları, sənaye məhsulları (uranium, radiasiya, asbest), atmosferin çirklənməsi, qidalanma çatışmazlıqları xərçəngin yaranmasında rol alan amillərdəndir. Son araşdırmalara görə ağciyər xərçəngi riskini artıran ən vacib amil kanserogen maddələrin uzun müddətli tənəffüs edilməsidir. Ağciyər xərçənginin yaranmasında bu amillər mühüm rol oynayırlar:
|
|
|
|
Siqaret

Siqaret istifadəsi ağciyər xərçənginin ən çox müşahidə edilən səbəbidir. Buna baxmayaraq ağciyər xərçəngi siqaret çəkməyənlərdə də yarana bilər. Ağciyər xərçəngli kişilərin 10 faizi və qadınların isə 20-25 faizində yaranan xərçəng siqaret ilə əlaqəsi yoxdur.
İnkişaf etmiş ölkələrdə ağciyər xərçəngindən yaranan ölümlərin kişilərdə 92-94 faizinin, qadınlarda isə 78-80 faizinin siqaretlə bağlı olduğu açıqlanmışdır. Ölkələrin istehlak etdiyi siqaret sayı ilə ağciyər xərçəngi arasında düz mütənasib asılılıq var. Bu hal son illərdə tütün istifadəsinin artdığı inkişaf etməkdə olan ölkələrdə aydın şəkildə müşahidə edilir. Passiv siqaret çəkənlər də (siqaret çəkilən mühitdə olaraq siqaret tüstüsü ilə tənəffüs edənlər) aktiv siqaret çəkənlər qədər ağciyər xərçəngi riskinə malikdir.
Xərçəngin inkişaf etmək riski siqaret çəkmə müddəti, gündə çəkilən siqaret sayı, siqaret vərdişinə başlanma yaşı, dərinə çəkmə (inhalyasiya), qatran ("qarayağ") miqdarı ilə artır, istifadəni dayandırma müddəti ilə də azalır. Siqaret istifadəsi xüsusilə 20 paketi (400 siqareti) keçəndən sonra nisbi risk aydın şəkildə artır. Siqaret miqdarı artdıqca risk qat-qat artır, ancaq siqareti tərgitdikdən sonra da risk gedərək azalır. Siqaretdən başqa siqar çəkənlərdə risk 3 qat, trubka istifadə edənlərdə isə 8 qat artır. Filtrli ya da tərkibində az miqdarda qatran olan "layt" (ing. "light") siqaretləri çəkənlərdə xərçəng təhlükəsi azalmır. Siqaret və digər tütün məhsullarının istifadə miqdarı və müddəti artdıqca ağciyər xərçənginin və başqa xərçənglərin yaranma ehtimalı artır, tərgidəndə isə zamanla azalır. Ağciyər xərçənginin yaranma riski siqareti tərgitməklə birlikdə 10-20 il ərzində heç çəkməyənlərin səviyyəsinə yaxınlaşır.
Sənaye və mühitin təsiri
Peşələr
Müəyyən peşə (gəmiqayırma, inşaat ləvizamatları istehsalı, dulusçuluq, mətbəə işləri, mədənçilik və s.) yiyələrində ağciyər xərçəngi daha çox müşahidə edilir. Ən təsirli peşə kanserogenləri arasında asbest, arsen, alüminium, dixlormetil efiri, xrom, karbohidrogenlər (məsələn, çoxnüvəli aromatik karbohidrogenlər), iprit, nikel və nikel birləşmələri, radiasiya, radon, vinilxlorid, berillium, kadmium və formaldehid sayıla bilər.
Siqaret tüstüsü xərçəngin yaranma müddətində ətraf mühiti çirkləndirən maddələr ilə bir yerdə təsir göstərir. Bu vəziyyət siqaret çəkən uranium və asbest işçilərində aydın şəkildə nəzərə çarpır. Belə ki, ağciyər xərçəngi riski siqaret çəkən asbest işçilərində 92 qat, siqaret çəkməyən asbest işçilərində sadəcə 5 qat çoxdur.
Radon
Radon qazı Amerika Birleşmiş Ştatlarında ağciyər xərçənginin ikinci ən çox yayılmış (10%) səbəbidir və hər il 6.000-360.000 ağciyər xərçəngli şəxsin ölümünün səbəbkarıdır. Radon kimyəvi nəcib qaz olub uraniumun parçalanma məhsuludur. Nəfəslə alınanda radon qazı ağciyər epitelisi və ya digər hüceyrələri ilə təsirdə olub xərçəngə səbəb olur. Torpaqda təbii olaraq tapılır və yaxşı ventilyasiya edilməyən ev və iş yerlərinin altındakı torpaqdakı miqdarına bağlı olaraq qapalı məkandakı havada radon miqdarı yüksək ola bilər. Yuxarı hədd 4 pCi/L olub 8 pCi/L-dən çox olanda xərçəng riski artır. Siqaret ilə radonun qarşılıqlı təsiri sinergikdir və xərçəng riski 1,3-1,8 nisbətindədir.
Digər mühit amilləri

Ağciyər xərçəngi etiologiyasında rol oynayan mühüm kanserogenlərdən biri də asbestdir. Sənaye istehsalatı olaraq gəmi, izolyasiya, avtomobil sənayesi kimi sahələrdə istifadəsinin yanında bu minerala mühit təsiri də (tərkibində tremolit olan ağ torpaq və seolit) xərçəngin inkişaf etmə riskini yuxarı qaldırır.
Asbest ağciyər xərçəngi də daxil olmaq üzrə müxtəlif ağciyər xəstəliklərinə səbəb ola bilər. Asbestə məruz qalmaq və tütün istifadəsi sinergetik təsir göstərərək ağciyər xərçəngi yaranma riskini artırır. İngiltərədə asbest ağciyər xərçəngindən ölən kişilərin 2-3 faizinin səbəbkarıdır.. Asbest həm də mezotelioma kimi adlandırılan plevranın xərçənginə də səbəb ola bilər, mezotelioma ağciyər xərçəngi deyil.
Atmosferin çirklənməsi xərçəngin yaranma riskindəki əhəmiyyəti mübahisəli məsələdir. Buna baxmayaraq atmosferin çox çirklənməsi ağciyər xərçəngi ölümcüllük statistikalarında öz əksini tapır. Görmək olar ki, şəhərlərdə yaşayanların kənddə yaşayanlara nəzərən ağciyər xərçəngi inkişafı riski 1,3-2,3 qat daha çoxdur.
Viruslar
Heyvanlar üzərində aparılan arışdırmalarda virusların ağciyər xərçənginə səbəb ola bilmələri müəyyən edilmişdir, son illərdə aparılan araşdırmalarda insanlarda da virusların ağciyər xərçəngi üçün yaranma amili olduğu göstərilmişdir. İnsanlarda risk amili olduğu deyilən viruslar arasında İnsan papilloma virusu, Con Kanningem virusu, SV40 virusu, BK virusu və sitomeqalovirus sayılabilir.
Qidalanma
Bir çox epidemioloji çalışmalarda tərəvəzlə qidalanmanın ağciyər və digər xərçəng risklərini orta dərəcədə azaltdığı göstərilmişdir. Bunların ardınca aparılan araşdırmalarda retinol və ya A vitamini ehtiva edən retinoidlərin qabaqcılı olan beta karotinin ağciyər xərçəngi riski azalda bilmə ehtimalı olması iddia edilmişdir. Siqaret çəkənlərdə beta karotin çəkməyənlərdən daha az tapılmışdır. Bunun səbəbi beta karotinin pəhrizlə daha az qəbul edilməsi və siqaretin absorbsiya və metabolizm üstündəki təsiridir. Retinoidlərin bir çox araşdırmada antikanserogen təsirləri göstərilib.
A vitamini çatışmazlığı tənəffüs sistemi epitelisində yastı metaplaziyaya səbəb olur. Yəni normal tənəffüs sistemini əhatələyən epiteli hüceyrələri xüsusiyyətlərini itirib yastı hüceyrələrə çevrilir. A vitamini az olan pəhriz ilə qidalananlar bol-bol A vitamini qəbul edənlərə nəzərən 4,6 dəfə daha çox xərçəng riski daşıyır. C vitamini və selen çatışmazlığında qara çay və xolesterin da səbəbkar kimi göstərilmişdir. Siqaret çəkən kişilərdə 5-8 il müddətində E vitamini və beta karotin verilməsi xərçəng riskinin azalmasına səbəb olur.
Genetik meyillilik
Ağciyər xərçəngində irsi meyillilik yaradan amillərin olduğu deyilir. Birinci dərəcə qohumlar arasında ağciyər xərçəngi olan şəxs varsa, xərçəngin yaranma ehtimalı 2-4 dəfə artır. Ancaq bunun tamamilə genetik amillərə bağlı olmadığı, qohumların eyni məkanda vaxt keçirməsinin də təsiri olduğu düşünülür.
Xroniki kanserogenə məruz qalmağın nəticəsində genetik quruluşa zərər dəyir. Hüceyrəni xərçəngləşməyə doğru aparan zərərin təməlində hüceyrə artımını idarə edən genlərdəki dəyişiklikdir.
Molekulyar genetika və patogenez
Tənəffüs yolları selikli qişasının kanserogen amillərlə uzun müddət qarşılıqlı təsirdə olması nəticəsində toxumalarda bir sıra dəyişikliklər olur. Kanserogenlər hüceyrə içində zülal və lipid kimi bir çox molekula və DNT-yə bağlanır. Xroniki kanserogen ilə genetik materiallara zərər dəyir. Bu zərər hüceyrə artımında iştirak edən myc və ras kimi onkogenlərin aktivləşməsinə və hüceyrə böyüməsininin qarşısını alan retinoblastoma zülalı və p53 kimi şiş basdırıcı genlərin deaktivləşməsinə səbəb ola bilər.
Xroniki kanserogenə məruz qalmağın nəticəsində genetik quruluşa zərər dəyir. Hüceyrə artımını idarə edən genlərdəki zərər xərçəngin yaranması üçün əsas amildir. Digər xərçəng növlərindəki kimi ağciyər xərçəngi də onkogenlərin aktivləşməsi ya da şiş basdırıcı genlərin deaktivləşməsi nəticəsində yaranır. Son illərdə proto-onkogen olaraq adlandırılan normal və adətən, hüceyrənin bölünməsi ilə əlaqəli proseslərdə fəaliyyət göstərən genlərin müəyyən kanserogenlərlə onkogen halına keçərək karsinogenezisdə rol aldıqları müəyyən edilmişdir. Kiçik hüceyrəli karsinomada, adətən, c-myc və Rb, kiçik olmayan hüceyrəli kardinamada isə adətən, ras və p16-da problem var.
Ağciyər xərçəngi ilə əlaqədar olaraq aktivləşmiş onkogenlərin 6 qrupu vardır. Ən vacibləri ras (H-ras, K-ras, N-ras) və myc (N-myc, C-myc, Lmyc) onkogenləridir. K-ras proto-onkogenindəki mutasiyalar ağciyər adenokarsinomalarının 10-30 faizindən asılıdır.
Epidermal böyümə amili reseptorunu kodlaşdıran ERBB1 geni və RAS protoonkogenləri daha çox kiçik olmayan hüceyrəli ağciyər xərçəngi hallarında müşahidə edilən mutasiyaların səbəbkarıdır. Epidermal böyümə amili reseptoru hüceyrələrin profilerasiya, apoptoz, angiogenez və şiş müdaxiləsinə səbəb olur.
Gen-supressor şişlərin deaktivləşməsinə səbəb olan xromosom hasarları da ağciyər xərçənginin yaranmasında iştirak edir. İnsan xərçənglərində ən çox rast gəlinən gen-supressor şişi 17-ci insan xromosomunda yerləşən p53 və 13-cü insan xromosomundakı retinoblastoma zülalı genidir. Retinoblastoma zülalı hüceyrə tsikli müddətində irəliləməyin qarşısını alıb böyüməni idarə edir. p53 mutasiyaları böyüməni sürətləndirərək xərçəngin yaranmasında rol oynayır. Bütün ağciyər xərçəngli xəstələrin yarısında bu mutasiyalar müşahidə edilir. Zəiflədici genlər içində ən çox araşdırılanı p53 geni mutasiyalarıdır. Bir nüvə fosfoproteini olan p53, xüsusilə, DNT hasarına cavab olaraq hüceyrə tsiklini, DNT replikasıyası]] və bərpası, hüceyrənin dəyişməsi və apoptozu idarə edən genləri düzəldir. p53 gen-supressor şişinin mutasiyaları ağciyər xərçəngli xəstələrin isə 60-75 faizində müşahidə edilir. 3p, 5q, 13q, və 17p lokasiyalarında meydana gələn xromosom hasarları, xüsusilə, kiçik hüceyrəli ağciyər xərçəngləri olmaq üzrə ağciyər xərçənglərində müşahidə edilir. Kiçik hüceyrəli ağciyər xərçəngi diaqnozlarının 90 faizində və kiçik hüceyrəli olmayan ağciyər xərçəngi diaqnozlarının isə 50 faizindən çoxunda 17p lokasiyasında mutasiya aşkar edilmişdir.
Diaqnoz

İlkin ağciyər tumoru (törəmə, şiş) normal ağciyər toxuması ilə əhatələnmiş hər hansısa bir adenopatiya ya da atelektaz ilə əlaqəsi olmayan bir ağciyər radioloji ləkəsidir. Bu ləkənin səbəbi tumor adlanan, kürə formalı, nisbətən bərk bir hüceyrə topasıdır. İlkin ağciyər tumorlu bir xəstədə bacarılan ən az müdaxilə ilə bədxassəli şişləri xoşxassəli şişlərdən ayırmaq, doğru və spesifik diaqnozu qoymaq əsas məqsədlərdən biridir. İlkin ağciyər şişi diaqnozunda ilk addım klinik və radioloji qiymətləndirmədir. Ancaq xərçəng diaqnozunun dəqiq olaraq qoyula bilməsi üçün şişin patoloji müayinə edilməsi vacibdir. Biopsiya nəticəsi olmadan xərçəng diaqnozu qoyulmur. Limfa düyünlərində metastaz şübhəsi olanda limfa düyünlərindən biopsiya almaq lazım ola bilər.
Ağciyər xərçənginin diaqnozu və hansı mərhələdə olduğunun müəyyən edilməsi məqsədi ilə ağciyər rentgeni, toraks və qarın boşluğunun kompüter tomoqrafiyası, maqnit rezonans tomoqrafiya, sümük sintiqrafiyası, beyin kompüter və ya maqnit rezonans tomoqrafiyası tətbiqlərindən əlavə bronxoskopiya və mediastinoskopiya adlanan limfa düyünlərindən biopsiya materialı alınması üsulları istifadə olunur.
Ağciyər xərçənginə ən çox yuxarı payda, xüsusilə də, sağ yuxarı payda rast gəlinir. Bronx xərçəngi həm selikli qişada, həm də selikli qişa altı limfa damarlarında və ya bronx ətrafı (peribronxial) sahədə yarana bilər. Selikli qişada eritema, bronx nizamında pozğunluq, bronxlarda daralma, dəmiryolu kimi selikli qişada qalınlaşma (selikli qişanın dəmiryolu kimi bir xətt üzərində paralel xətlər formasında qalınlaşması), xaricdən təzyiq ilə bronxda nizamsızlıqlar, darlıqlar kimi simptomlar müşahidə edilir.

Ağciyər xərçənginə dəqiq diaqnoz ən çox bronxoskopik biopsiya kəlbətinləri ilə qoyulur. Son illərdə inkişaf edən bronx içindən (transbronxial) iynə aspirasiyası və dəridən dəri içindən biopsiya üsulları ilə həm mərkəzi, həm də ətraf (periferik) şişlərə diaqnoz qoyulması ehtimalı artır. Biopsiya kəlbətinləri ilə bronx içindən səthə doğru böyüyən (ekzofit) ləkələrdə 55-85 faiz, bəzən ortalama 90 faiz olan diaqnoz nisbətləri, submukozal (selikli qişa altı) və peribronxial (bronx ətrafı) yayılmalarda 55 faiz kimi daha aşağı nisbətdədir. Bu nisbət bronxoalveol lavajı və bronxial fırçalama ilə birlikdə 90 faizdən çoxdur. Əlavə olaraq, nekrotik şişlərdə büyük və dərin biopsiya alınması, submukozal infiltrasiyalarda transbronxial iynə aspirasiyası ilə bərabər 97 faiz kimi yüksək diaqnoz nisbəti müşahidə edilir. Submukozal şişlərdə transbronxial biopsiya kəlbətini ilə 55 faiz, periferik zədələnmələrdə 30-50 faiz endoskopik diaqnoz nisbəti müşahidə edilir..
Döş qəfəsi radioqramı və toraks kompüter tomoqrafiyası tədqiqi ilə şişin yerləşdiyi yer, böyüklüyü, yayılması müəyyən edilə bilər. Həmçinin, xəstənin mövcud olan ağciyər xəstəlikləri (ağciyərlərin xroniki obstruktiv xəstəliyi, emfizem, bronxoektatik xəstəlik, atelektaz və s.) və sinə divarındakı quruluş xüsusiyyətləri haqqında məlumat verir. Yaranmış digər ağciyər xəstəlikləri xəstənin performansının qiymətləndirilməsi cəhətdən vacibdir.
Əsas radioloji üsullar arxa-qabaq ağciyər rentgeni və toraks kompüter tomoqrafiyasıdır. Bu araşdırma ilə şişlərə aid müxtəlif xüsusiyyətlər qiymətləndirilir. Şişin ölçüsü, daxili quruluşu, böyümə sürəti və lokalizasiyası qiymətləndirilən əsas xüsusiyyətlərdir.
Pozitron-emissiya tomoqrafiyası ağciyər şişlərinin diaqnozunda istifadə olunan digər bir müayinə üsuldur. Pozitron-emissiya tomoqrafiyası bədxassəli şişlərin təyinində həssaslığı 96,8 faiz, spesifikliyi 77,8 faizdir. Xoşxassəli şişlərdə həssaslığı isə 96 faiz və spesifikliyi 88 faizdir.

Bronxoskopiyanın ağciyər şişlərinin diaqnoztikasındakı dəyəri şişin ölçüsünə və lokalizasiyasına (yerləşdiyi yerə) görə dəyişir. Diaqnoz dəyəri mərkəzi şişlərdə 82 faiz, periferik şişlərdə isə 53 faiz kimi hesablanıb. Ağciyər şişlərində bronxoskopiya şişin lokalizasiyası, şişin yayılması, əməliyyata uyğunluğu, histoloji tipinin təyini, şişin simptom göstərməyən (asimptomatik) xəstədə təyini, şişin mərhələsinin müəyyən edilməsi, endobronxial şiş müalicəsi kimi vacib rollara sahib bir üsuldur.
Transtorakal iynə aspirasiyasının diaqnoz dəyəri bədxassəli yaralarda 64-100 faiz arasında olub spesifik xoşxasəlli diaqnoz miqdarı 12-68 faiz arasında dəyişir.
İlkin ağciyər şişinin diaqnozunda istifadə edilən cərrahi üsullar video vasitəsi ilə torakoskopik cərrahiyyə və ya torakotomiyadır. Video vasitəsi ilə torakoskopik cərrahiyyə yayılma nisbəti və ölümcüllüyü düşük, aktivliyi yüksək bir üsul olduğundan çox vaxt düşünülən ilk cərrahi üsuldur. Edilən bir araşdırmada video vasitəsi ilə torakoskopik cərrahiyyənin spesifikliyi 100%, yayılma nisbəti 9,6% və ölümcüllük nisbəti 0,5% olaraq bildirilib.
Xəstədə radioloji tapıntılar və mövcud risk amilləri ağciyər xərçəngi ehtimalını düşündürə bilər, amma edilən tədqiqatlarla dəqiq diaqnoz qoyulmayıbsa, torakotomiya üsulu həm diaqnoz qoymaq məqsədi ilə, həm də metastaz yoxlanışı neqativ olan xəstədə ektomiya (rezeksiya) məqsədi ilə istifadə edilir. Mediastinoskopiya mediastinuma çıxışı olan kiçik bir kəsik ilə bu boşluqdan içəri yeridilən endoskop vasitəsi ilə və soyuq işığın köməyi ilə araşdırılmasıdır. Ağciyər xəstələrinin təqribən yarısında mediastinal limfa düyününün də əhatələndiyi müşahidə edildiyindən mediastinoskopiya nəfəs borusu, karina, yuxarı boş vena ətrafındakı zədələnmələr və mediastinumdakı limfa düyünlərindən əməliyyatdan əvvəl xərçəngin bədənin digər orqanlarına təsir edib-etmədiyini müəyyənləşdirmək məqsədi ilə edilir. Mediastinum normaldırsa, edilməyə bilər.
Mərhələlər
Ağciyər xərçəngi diaqnozu qoyulandan sonra xəstənin proqnozuna düzgün bir şəkildə yanaşmaq, ən yaxşı müalicə üsulunu müəyyən etmək və alınan müalicə nəticələrinin elmi müqayisəsini edə bilmək üçün xəstəliyin anatomik dərəcəsinin təyin edilməsi, yəni mərhələlərə bölünməsi lazımdır. Ağciyər xərçəngi üçün əsas şişin böyüklüyü və yayılmasına (T), regional limfa düyünü tutulmasına (N), şişin böyük və uzaq hissələrə yayılmasına (M) əsasında TNM (ing. tumor, node, metastasis) mərhələlərə ayırma sistemi yaradılmışdır. Sonrakı illərdə mərhələnin daha düzgün müəyyən edilməsi məqsədilə TNM sisteminin yenidən inkişaf etdirilməsi ilə pulcuqlu, böyük hüceyrəli və adenokarsinomalı xəstələr ediləcək müalicə və proqnoz cəhətdən IA, IB, IIA, IIB, IIIA, IIIB və IV mərhələləri şəklində təsnifləndirilir. Kiçik hüceyrəli xərçəng xəstələrində TNM sistemi yerinə VİAXQ (azərb. Veteranlar İdarəsi Ağciyər Xərçəng Qrupu; ing. Veterans Administration Lung Cancer Group) tərəfindən tövsiyə edilən mərhələlərə bölünmə sistemi istifadə edilir. Buna görə də xəstəliyin yayıldığı yer döş qəfəsinin yarısındadırsa (bir hemitoraksda), "məhdud" veə hemitoraksın ətrafında daha çox yayılıbsa, "geniş yayılmış" olaraq mərhələlərə ayrılır. Əlavə olaraq, TNM mərhələlərə ayırma sistemi kiçik hüceyrəli xəstələrdə də istifadə edilə bilər.
Ağciyər xərçəngində mərhələlər:
- 1-ci mərhələ: Şişin sadəcə ağciyərin kiçik bir hissəsində yayılır.
- 1A mərhələsi: Xərçəng sadəcə ağciyərdədir.
- 1B mərhələsi: Xərçəng ya ağciyər içində böyüyür, ya ana bronxa yayılır ya da ağciyəri örtən plevranın daxili təbəqəsinə yayılır.
- 2-ci mərhələ: Xəstəlik ən yaxın limfa düyünlərinə keçib.
- 2A mərhələsi: Xərçəng sinədə yaxın olduğu limfa düyünlərinə yayılır.
- 2B mərhələsi: Xərçəng ya 1B mərhələsindəki kimidir və eyni tərəfdəki limfa düyünlərinə yayılmışdır və ya xərçəng limfa düyünlərinə yayılmayıb, amma bunlardan bir və ya daha çoxuna yayılıb: Döş divarına, diafraqmaya və ya ağciyərlər arasındakı plevraya, ürəyin ətrafındakı qişaya və/və ya ana bronxa.
- 3-cü mərhələ: Şiş, plevra və ya iki ağciyər arasındakı mediastum adlanan boşluğa və ya buradakı vəzilərə yayılmışdır.
- 3A mərhələsi: Xərçəng özü ilə eyni tərəfdəki limfa düyünlərinə yayılıb. Həmçinin, bunlardan bir və ya daha çoxuna yayılmış ola bilər: Döş divarına, diafraqmaya və ya ağciyərlər arasındakı plevraya, ürəyin ətrafındakı qişaya (ürək kisəsi) və/və ya ana bronxa.
- 3B mərhələsi: Xərçəng körpücük sümüyünün üstündəki limfa düyünlərinə və ya döşün qarşı tərəfindəki limfa düyünlərinə yayılmışdır və/və ya bunlardan biri və ya daha çoxuna yayılmışdır: ürəyə, aşağı boş vena və aortaya, döş divarına, diafraqma, traxeyaya, sternum və udlağa. Xərçəng, həmçinin, plevra təbəqələri arasındakı mayeyə də yayılmış ola bilər.
- 4-cü mərhələ: Qaraciyər, sümük, böyrəküstü vəzilər kimi uzaq orqanlara yayılmışdır.
Patohistoloji təsnif
Ağciyər xərçənglərinin böyük əksəriyyəti karsinomadır (epiteli hüceyrə mənşəli olan şiş). Ağciyər karsinomalarının iki əsas qrupu var: kiçik olmayan hüceyrəli (80,4%) və kiçik hüceyrəli (16,8%). Histoloji kriteriyalarına əsaslanan bu təsnif klinik yanaşma və xəstəliyin proqnozu cəhətdən vacibdir. Kiçik olmayan hüceyrəli ağciyər karsinomalarının tək bir qrupda cəmləşməsinin səbəbi bu qrupdakı karsinoma tiplərinin proqnozları və müalicə növlərinin oxşar olmasıdır. Ən əsas üç alt tip bunlardır: pulcuqlu hüceyrəli karsinoma, adenokarsinoma və böyük hüceyrəli karsinoma.
| Histoloji sinif | Sıxlıq (%) |
|---|---|
| Böyük hüceyrəli | 80.4 |
| Kiçik hüceyrəli | 16.8 |
| Karsinoid | 0.8 |
| Sarkoma | 0.1 |
| Təsnifləndirilməyən ağciyər xərçəngi | 1.9 |
Əsas ağciyər xərçəngində şiş tipinin bilinməsi müalicə üsulunun seçilməsi və proqnoz cəhətdən vacibdir. Kişilərdə ən çox epidermoid xərçəng (pulcuqlu hüceyrəli karsinoma), qadınlarda isə ən çox adenokarsinoma müşahidə edilir.. Adenokarsinoma daha çox periferik yayılır. Pulcuqlu hüceyrəli karsinoma isə tipik olaraq mərkəzi bronxda yayıldığı üçün hilum və mediastin ətrafında müşahidə edilir. Böyük hüceyrəli karsinoma əsasən periferik yayılır. Kiçik hüceyrəli karsinoma proksimal tənəffüs yollarında yayılması ilə yenə hilum və mediastin oblastında yerləşir və xəstələrin 78 faizində mərkəzdə yerləşən radioloji şiş ilə müşahidə edilir. Mərkəzi şişlər, adətən, kiçik hüceyrəli və ya pulcuqlu hüceyrəli, periferik şişlər isə adenokarsinoma və ya böyük hüceyrəli tipindədir.
| Histoloji alt tiplər | Kiçik olmayn hüceyrəli ağciyər xərçənglərinin sıxlığı (%) | ||
|---|---|---|---|
| Siqaret çəkənlər | Heç siqaret çəkməyənlər | ||
| Pulcuqlu hüceyrəli karsinoma | 42 | 33 | |
| Adenokarsinoma | Adenokarsinoma (bronxoalveolar olmayan) | 39 | 35 |
| Bronxoalveolar karsinoma | 4 | 10 | |
| Karsinoid | 7 | 16 | |
| Digər | 8 | 6 | |
Ağciyər xərçəng tipləri:
- Bronxogen karsinoma 90-95%
- Neyroendokrin şişlər 5%
- Mezenximal şişlər 2%
- Metastatik şişlər
